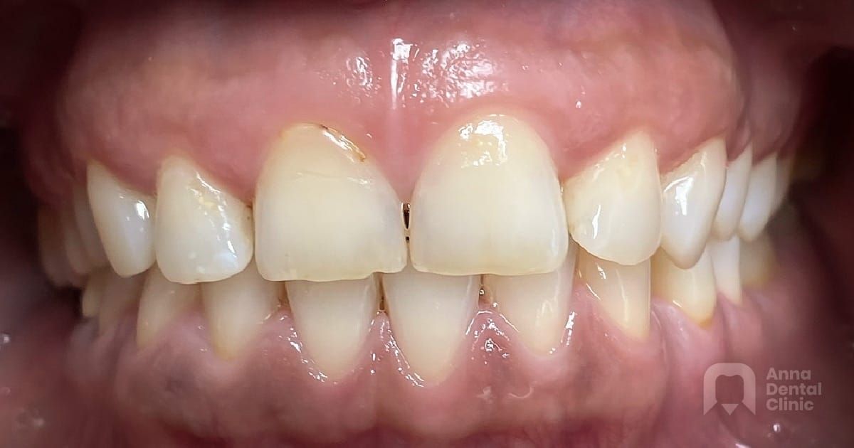
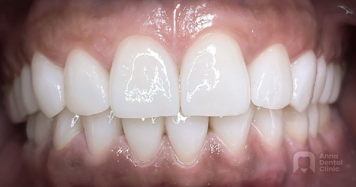
Lek. dent. Anna Sarzyńska każdorazowo skupia się na przygotowaniu planu leczenia, który dobierany jest indywidualnie do potrzeb i oczekiwań Pacjenta. Dzięki posiadanemu doświadczeniu gwarantuje efekt, który przywraca pewność siebie i radość z uśmiechu. Zastosowane licówki porcelanowe u naszej pacjentki pani Anity są jednocześnie wysoce trwałe jak i mają w sobie wyjątkowe piękno i elegancję.
Profesjonalne procedury i bezkompromisowe materiały oraz współpraca na każdym etapie leczenia z Pracownią Protetyczną Anity Walerzak pozwalają nam osiągać wyjątkowe efekty.
View the embedded image gallery online at:
https://www.v1.annadentalclinic.com/galeria-usmiechu/03#sigProId91c197dd50
https://www.v1.annadentalclinic.com/galeria-usmiechu/03#sigProId91c197dd50

