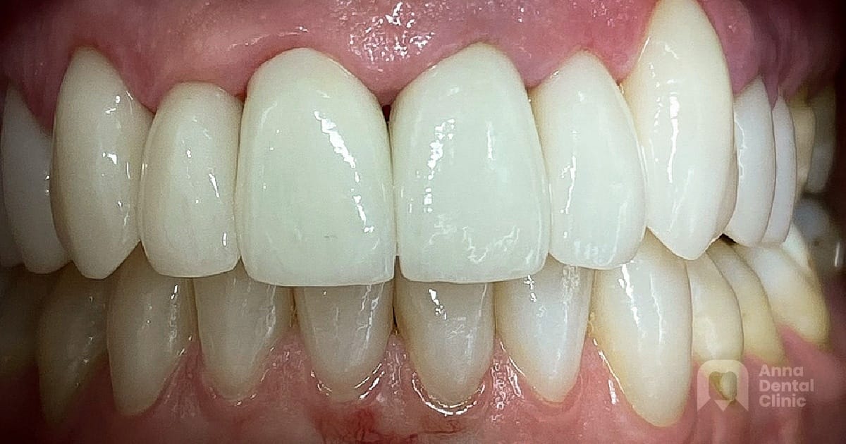
Do naszej kliniki zgłaszają się pacjenci dla których estetyka zębów jest niezwykle ważna. Proste, kształtne oraz jasne zęby gwarantują im pewność siebie oraz podbudowują poczucie własnej wartości. Dzisiejsza stomatologia estetyczna sprawia, że można wpłynąć na kolor szkliwa, czy też kształt, jak i wielkość zębów. Dzięki niej można zdobyć nie tylko nowy uśmiech, ale przede wszystkim taki, który wygląda naturalnie. Bardzo ważne jest, aby pasował on do danej osoby, rysów twarzy i podkreślał prawdziwe, ludzkie piękno.
Lek. dent. Anna Sarzyńska u naszej dzisiejszej bohaterki wielkiej metamorfozy zastosowała swoją specjalność licówki porcelanowe. Naszym zdaniem efekt jest spektakularny i oczywiście jest nam naprawdę miło, że nasza pacjenta Anna może się dzisiaj cieszyć wspaniałym uśmiechem.
https://www.v1.annadentalclinic.com/galeria-usmiechu/04#sigProIdbd47da024b

