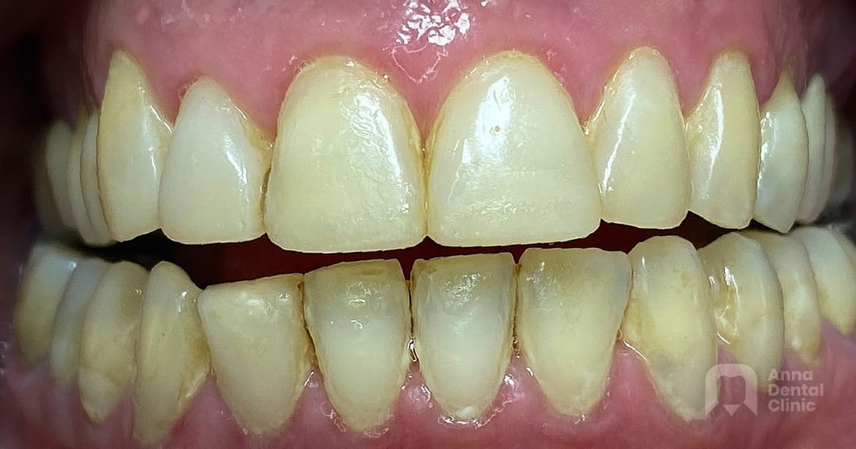
Kolejna niesamowita metamorfoza na naszym koncie. Emilia trafiła do nas po korektach estetycznych uzębienia. Kilka lat temu w innej klinice zastosowano u niej licówki kompozytowe, które po kilku latach przebarwiły się i starły. Do tego nie była zachowana okluzja (brak prawidłowego zgryzu i kontaktu między górnymi i dolnymi zębami) co objawiało się bólami głowy i żuchwy,pacjentka nie mogła gryźć.
Dla lek. dent. Anny Sarzyńskiej nie ma przypadków trudnych a przywrócenie prawidłowego zgryzu i odbudowa estetyczna to pasja zawodowa. W tym przypadku zastosowała niezawodne licówki porcelanowe i korony pełnoceramiczne, które jak już wcześniej pisaliśmy są niezawodną, trwałą i wysoko estetyczną metodą odbudowy uzębienia.
W trakcie procesu leczenia stomatologią zachowawczą zajęła się lek. dent. Oktawia Zacharek i oczywiście nie mogło zabraknąć przy tej pracy naszej Pracowni Protetycznej pani Anity Walerzak. Dzięki lek. dent. Annie Sarzyńkiej i jej niezawodnemu zespołowi oraz zaangażowaniu pacjentki udało się nam wypracować fantastyczny efekt.
https://www.v1.annadentalclinic.com/galeria-usmiechu/05#sigProIdf1cd6a76be

