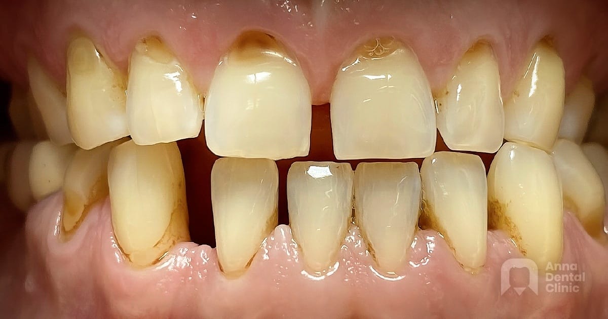
Licówki porcelanowe to nasza specjalność. To świetne rozwiązanie dla pacjentów z niewłaściwie ustawionymi zębami oraz erozją szkliwia Przekonała się o tym nasza pacjenta, która dzisiaj cieszy się nie tylko pięknym uśmiechem ale także przemianą całej twarzy. Zastosowano podniesienie obniżonego zwarcia, dzięki czemu usta stały się pełniejsze a bruzdy nosowo-wargowe wygładzone samym tym tym zabiegiem zwanym dental face lifting.
View the embedded image gallery online at:
https://www.v1.annadentalclinic.com/galeria-usmiechu/08#sigProId545210e918
https://www.v1.annadentalclinic.com/galeria-usmiechu/08#sigProId545210e918

