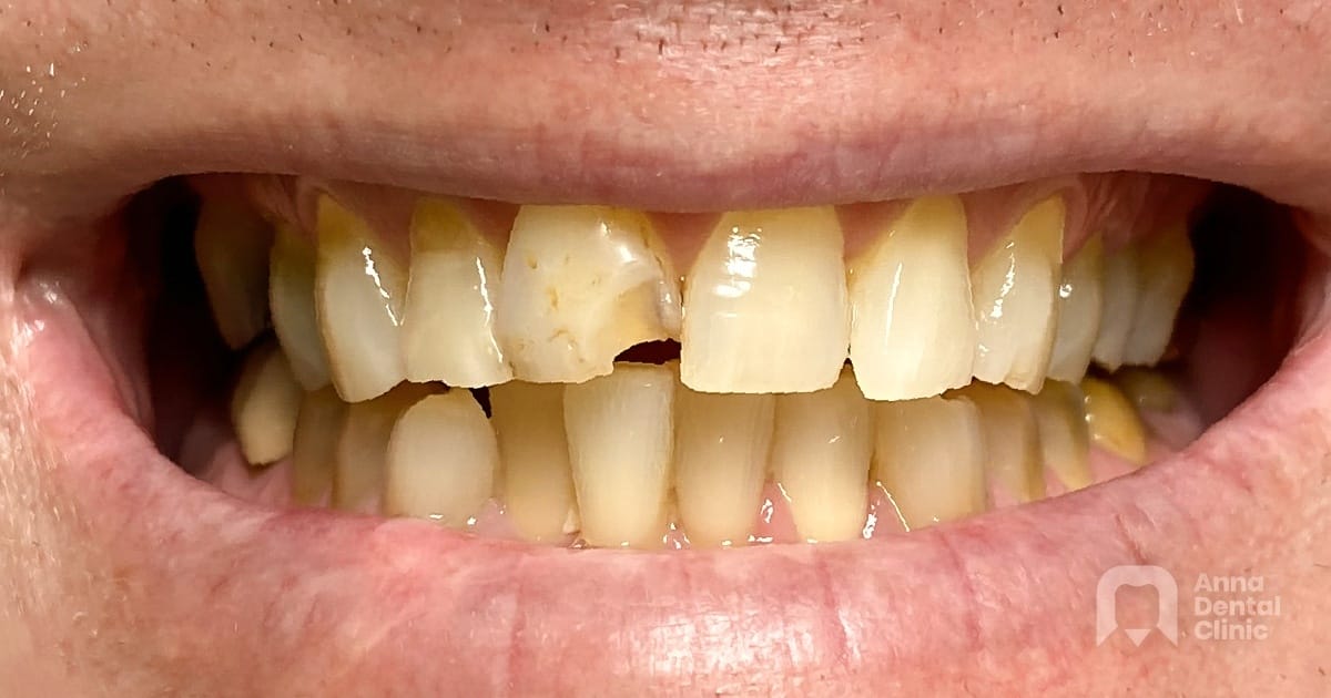
James trafił do nas z polecenia naszej pacjentki z nadzieją na zdrowy uśmiech ale jak twierdzi efekt przerósł jego oczekiwania. Pacjent trafił do naszej kliniki ze złamanym zębem w odcinku przednim co mogło świadczyć, że boczne zęby nie dają właściwego podparcia. Potrzebna była odbudowa utraconego uzębienia, korekta i podniesienie zgryzu.
Lek. dent. Anna Sarzyńska do takiego leczenia zastosowała niezawodne licówki porcelanowe oraz korony pełnoceramiczne e-max osiągając fantastyczny efekt. Częścią stomatologii zachowawczej zajęła się nasza specjalistka lek. dent. Oktawia Zacharek.
Dziękujemy Pracowni Protetycznej Anity Walerzak za wykonanie wysoko estetycznych licówek i koron.
View the embedded image gallery online at:
https://www.v1.annadentalclinic.com/galeria-usmiechu/09#sigProId613a513702
https://www.v1.annadentalclinic.com/galeria-usmiechu/09#sigProId613a513702

