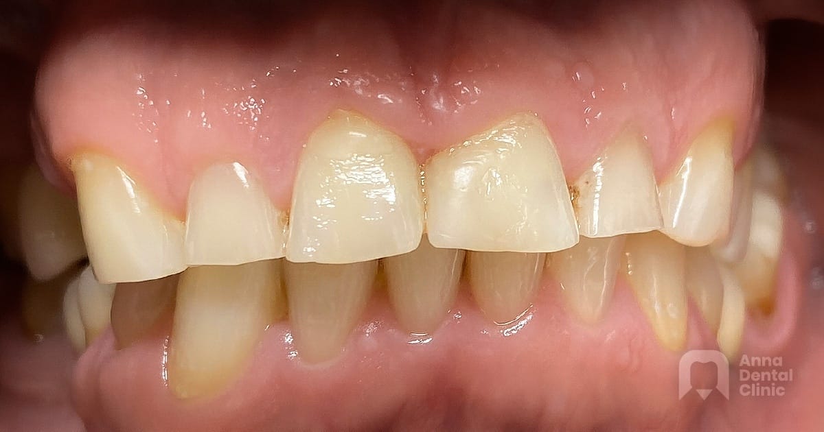
Kolejna metamorfoza lek. dent. Anny Sarzyńskiej i Pracowni Protetycznej Anity Walerzak. Zespół pod kierownictwem lek. dent. Anny zastosował kompleksową odbudowę górnego łuku zębowego przy użyciu licówek porcelanowych. Przywracając utraconą na skutek starcia długość zębów, zachowano naturalny efekt według życzenia naszego pacjenta. Efekt naturalnych zębów Zęby własne nie mają idealnych równych brzegów oraz śnieżnobiałego koloru. Można powiedzieć, że każdy ząb jest inny.
Odbudowując tą metodą zęby trzeba mieć bardzo duże doświadczenie oraz zmysł artystyczny aby z wyczuciem dopasować indywidualnie kolor i kształt nowego uśmiechu. Odbudowując lub korygując uzębienie wszystko zależy od pacjenta jaki efekt chce uzyskać.
Czy efekt naturalnych swoich zębów? Czy może równe, śnieżnobiałe zęby jak gwiazda filmowa tzw. hollywood smile?
W naszej klinice jesteśmy wstanie sprostać każdemu wyzwaniu i dopasować efekt do potrzeb pacjenta. Przekonało się o tym już tysiące pacjentów.
https://www.v1.annadentalclinic.com/galeria-usmiechu/12#sigProIdbbcfe342e6

