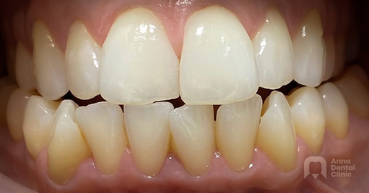
Nasza pacjentka wybrała szybką korektę zgryzu, gdzie zastosowaliśmy ultra cienkie licówki porcelanowe praktycznie bez szlifowania zębów. Aparat ortodontyczny dla pani Meliny był nie do przejścia z uwagi na czas leczenia oraz brak gwarancji na wymarzony efekt. Dzisiaj cieszy się nowym i pięknym uśmiechem.
View the embedded image gallery online at:
https://www.v1.annadentalclinic.com/galeria-usmiechu/13#sigProIdba2cca5a72
https://www.v1.annadentalclinic.com/galeria-usmiechu/13#sigProIdba2cca5a72

