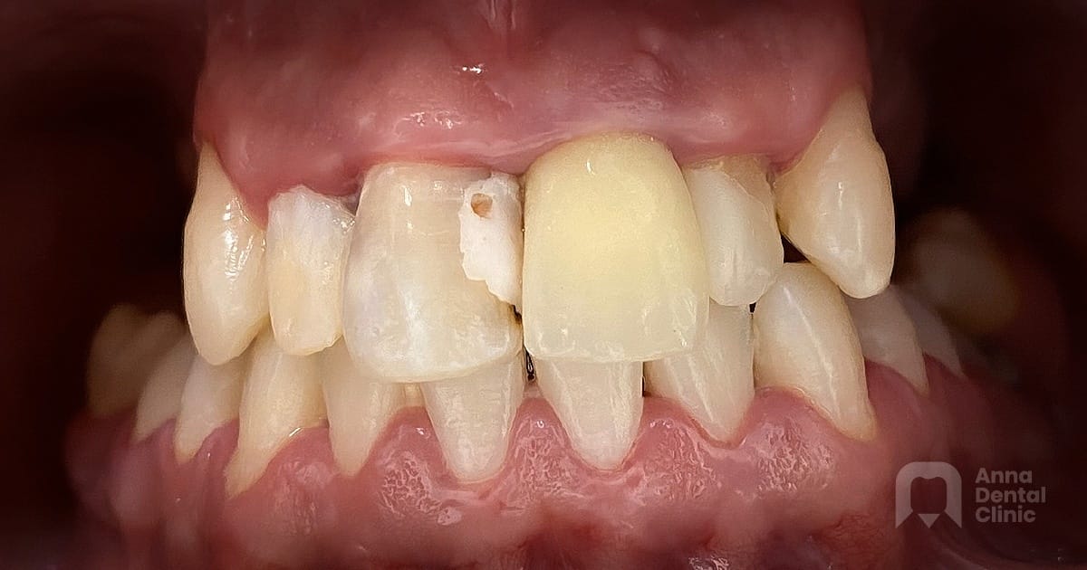
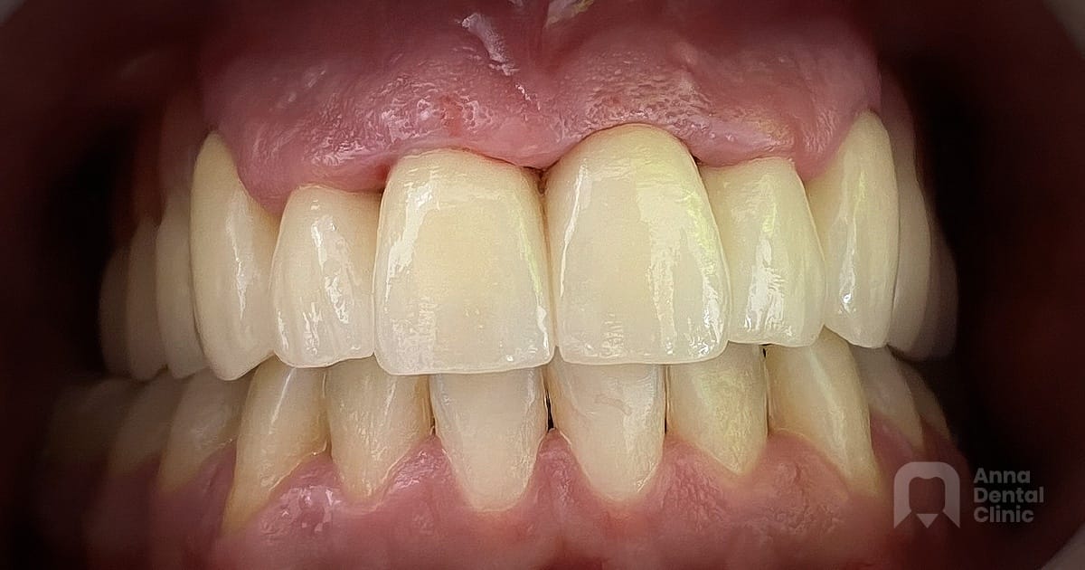
Lek. dent. Anna Sarzyńska wraz ze swoim zespołem wykonała piękną pracą protetyczną na koronach porcelanowych. W celu uzupełnienia braków zębowych w odcinku tylnym wykonano protezę szkieletową na zasuwach aby uniknąć nieestetycznych klamer. W swojej kolekcji posiada kolejny wspaniały uśmiech i zadowolonego pacjenta Pana Adama.
View the embedded image gallery online at:
https://www.v1.annadentalclinic.com/galeria-usmiechu/14#sigProIdaa4e6466f3
https://www.v1.annadentalclinic.com/galeria-usmiechu/14#sigProIdaa4e6466f3

