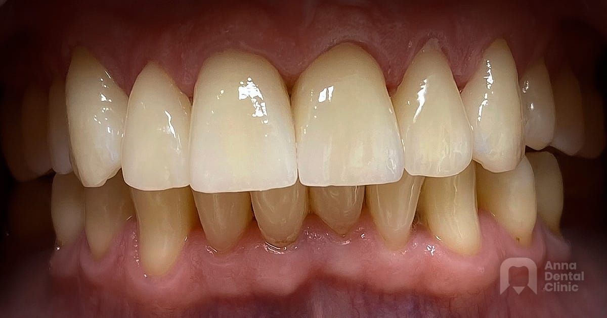
Zastosowaliśmy ultracienkie licówki porcelanowe praktycznie bez szlifowania zębów w celu poprawy estetyki uśmiechu. Laboratorium protetyczne przy naszej klinice wykonało indywidualnie dobrane i ręcznie wykonane metodą Hand Made licówki porcelanowe co świetnie odzwierciedla efekt naturalnych zębów.
View the embedded image gallery online at:
https://www.v1.annadentalclinic.com/galeria-usmiechu/15#sigProIddcd4997a6b
https://www.v1.annadentalclinic.com/galeria-usmiechu/15#sigProIddcd4997a6b

